本文へスキップ

電話でのご予約・お問い合わせはTEL.01558-9-6006

〒089-2152 北海道広尾郡大樹町西本通74-17

治療方針policy&FAQ

治療方針 補綴(ほてつ)



【保険外】

『ジルコニア』 
『メタルボンドポーセレン』
『オールセラミックス(E-MAX)』

それぞれに長所・短所がございます。 患者様に最も似合った歯をオススメいたします。
保険の歯とは明らかに違います。




【部分的な詰め物 保険外】

『セラミックスインレー(E-MAX)』  

●白い銀歯です。 普通の銀歯よりも 審美的にオススメです。





【矯正 保険外】

まったくワイヤーを使用しない矯正方法で お子様から大人まで適応が可能です。




【部分入れ歯】

「入れ歯はただの噛む道具」といわれる患者様もおりますが 歯科医としては生活のクオリティ
(機能・審美)を考えます。

金具を使用しない機能性と美しさを追求した入れ歯はいかがでしょう?
他医院とは症例数【喜びの声】が違い女性に大人気です。

こちらに変更いただいた患者様はみな様、 今までの入れ歯との違うと驚かれます。
得に女性の患者様にオススメで口元に自信がついたとご好評です。
患者様ひとりひとりにお似合いの 入れ歯をご提案させていただいております。

■コーヌス入れ歯 ・良くできた茶筒を想像してみてください、力強く引っ張っても外れません。
ただ ちょっとしたコツで外れます。

■キャストプレート (強く噛めるようになるほど差がわかります)
・金属で補強し割れにくく、保険の入れ歯とは違い温度を感じることができます。

■金属床(コバルト・貴金属)  
・様々な金属がありますがその方に、もっとも合う種類を選ばせていただきます。
(普通の金属と舌触りが違いますし味の違いもわかりやすいです)

■金属メッシュ  (味覚が冴えめす。ビール呑みの方におススメです)




【ホワイトニング ビフォーア】

歯科医の仕事とは虫歯の治療、入れ歯 を作るということだけではありません。

ホワイトニングなども仕事のひとつになります。
おかげさまで沢山の笑顔に出会うことができました。

他医院さんと違う最新の機器
(3〜5回の通院で済み、ホワイトニングの後にしみる”知覚過敏”もまずありません)




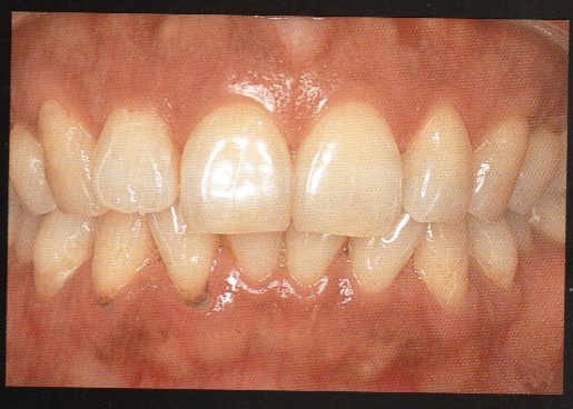
【ホワイトニング アフター】

■ホワイトニングに関してよくある質問

Q 差し歯や詰め物があってもホワイトニングはできますか?
A はい、可能です。 詳しくは医師にお尋ねください。

Q ホワイトニングの効果はどれくらい持続しますか?
A 人それぞれ生活習慣が違うので一概にはいえませんが、年単位で考えてください。

ただワイン、カレーなどを好む人は着色しやすいので定期健診は欠かせません。



上岡歯科

〒089-2152
北海道広尾郡大樹町西本通74-17
TEL 01558-9-6006